
【お問い合わせはこちら】075-202-3377
健保から自費、チタンからジルコニア、e.maxまで幅広くラインアップ
セラミックスならe.max、ジルコニア。金属なら銀合金からチタン、コバルトクロムまで。
歯科鋳造のすべてに対応しており、鋳造品質の高さとマージンの適合精度に自信を持っています。
健保技工には豊富な自費技工のノウハウを活用しています。
歯科鋳造では世界的に定評がある独・Kulzer社製鋳造機を用いています。
本機は銀合金からコバルトクロムまで全ての歯科用金属に対応します。
チタン鋳造は高真空・アルゴン雰囲気下鋳造機のチタニウマーOAC500MVを使用しています。
レーザー溶接機も完備しています。レーザー溶接による接合は精度・強度に優れ、チタンにも威力を発揮します。
最大出力165ジュールの高性能レーザー溶接機です。
特にチタン鋳造、その他合金の溶接も万全です。
e.max等のキャスタブル・セラミックスを鋳造するプレスファーネスです。
陶材の焼成にも活用しています。
CAD/CAM
現在、スキャナーとミリングマシーン2セット、3Dプリンターが稼働中です。
精度と効率が高い機材群です。
3Dプリンター
レジンパターンや印象トレー、スプリントなどをソフトウェアで作製したデータを3Dプリンターで作製します
3Dプリンターで作製されたレジンパターン、トレー、模型、スプリント。
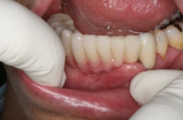
臨床例 ジルコニア
ジルコニア焼付ポーセレンのロングスパン・ブリッジです。
歯肉退縮が大きい欠損部にガム色ポーセレンを築盛しました。
審美性が非常に高いジルコニア焼付ポーセレンのアドヒージョン・ブリッジ
金属床はコバルトクロムとチタン、アクリルレジン床、ノンクラスプデンチャーが可能です。
レジン床は弊社独自の重合方法で高い適合精度を実現、長期間変形しない特徴があります。
保険義歯は条件付きでのみ承っております。
※現在、保険義歯単独のお仕事はお受けしておりません。
臨床例
下顎義歯はリベースや床縁・内面調整が可能です。
スケルトン一体型の3D構造をとっているため、非常に高強度です。
小出式ブレードティース、リンガライズド・オクルージョンを付与した上下総義歯の症例。
舌感も良好で大変良く咬めると高い評価を頂いております。
チタン金属床
高真空アルゴン置換鋳造ですので脆くなく、曲げ強度に優れ破折しにくく調整しやすい鋳造体が得られます。
チタン金属床は窒化処理(ゴールドヒュー処理)で美しい金色になります。
インプラントやカーバイトバーに見られるものと同様の表面処理です。
処理面は非常に硬度が高く科学的にも安定しており、汚れに強く剥がれません。
窒化処理(ゴールドヒュー処理)装置
この処理によって生成される皮膜はHv1100と非常に硬く、フッ素によるチタン表面の化学的侵襲を防止し変色を抑える効果があり、摩擦係数も著しく低減します。
窒化処理(ゴールドヒュー処理)装置。国内で唯一薬事法適用の貴重な器械です。弊社では2台所有しています。
90年代の古い装置ですが、きちんと維持しています。
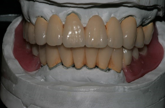
コンビネーションワークの臨床例
弊社はこれまで幾多のミリングワークを提供してきました。
コバルトクロムによる金属焼付ポーセレンと義歯のコンビネーション・ワーク。
義歯の維持装置はミリングワークとアタッチメントですので、鉤腕はありません。
ジルコニア焼付ポーセレンとチタン金属床のコンビネーション・ワーク。
義歯の維持装置はミリングワークとZLセクラロックアタッチメントの組み合わせです。